Los diferentes profesionales que trabajamos en la Clínica, tenemos como objetivo escoger el tratamiento más adecuado para cada paciente, usando las técnicas y materiales más novedosos.

El objetivo es que el paciente se sientabien atendido y a gusto desde el principio hasta el final del tratamiento.

1.- Odontología General y Endodoncia >>
2.- Odontología Estética y Prótesis >>
3.- Implantes >>
4.- Periodoncia >>
5.- Blanqueamiento Dental >>

 

  Odontología General y Endodoncia

Endodoncia: consiste en eliminar el nervio de una pieza dental y así poder conservar dicha pieza.

 

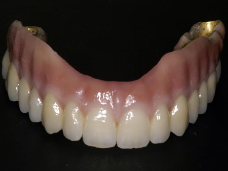
  Odontología Estética y Prótesis

Para mejorar el aspecto de sus dientes, le ofrecemos carillas de porcelana, carillas de composite, coronas de zirconio, metal-porcelana, procera y también prótesis removible.

 

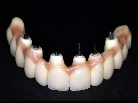
  Implantes

Los implantes son raíces de titanio que sustituyen a una pieza dental.Utilizamos el sistema más avanzado para colocar implantes sin necesidad de abrir la encía, con lo que disminuimos las molestias postoperatorias para el paciente, es el sistema Nobel Guide.

También usamos en los casos necesarios el PRFC, PLASMA RICO EN FACTORES DE CRECIMIENTO, mediante una pequeña extracción de sangre, usamos el plasma, lo centrifugamos y lo volvemos a incorporar en el lugar necesario, consiguiendo una mejor y mas rápida cicatrización.

Así mismo existe la posibilidad de colocar una prótesis provisional el mismo día de la intervención, con lo que el paciente tiene asegurada una estética y función desde el primer día.

Otros alternativas al tratamiento: all in four, dientes en una hora, procera implant bridge, dientes de porcelana y zirconio.

 

 
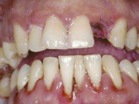
  Periodoncia

El mas frecuente problema de las encías es la piorrea o periodontítis: esuna enfermedad muy común que, si no se trata adecuadamente, provoca que los dientes sangren, comiencen a moverse y acaben por perderse.

Al no provocar dolor, se trata de una afección que suele pasar desapercibida y el paciente no le da importancia con lo que, la enfermedad avanza, y tiene como consecuencia la pérdida de las piezas. Sin embargo, con un tratamiento adecuado y las consiguientes revisiones periódicas conseguimos que la piorrea se detenga y conservar los dientes.

 

  Blanqueamiento Dental

Interno es un método sencillo, barato e indoloro para dientes no vitales.

Externo para blanquear todos los dientes. Se puede realizar en la consulta mediante LAMPARA DE LUZ FRIA SISTEMA ZOOM consiguiendo en una hora aclarar varios tonos sus dientes.

También se puede realizar ambulatoriamente en su domicilioconsiguiendo un resultado similar en pocas semanas.

 

 
             
 

 

Tafalla: Dip. Foral, 2 - 2º C y D - C.P. 31300 - T. 948 70 20 57 - F. 948 70 46 40 | Pamplona Avenida Pío XII, 8, bajo - C.P. 31008 - T. 948 17 26 17 - F. 948 17 26 17
 
LBLaction - Desarrollo de páginas web en Navarra